Cosmetic Smile Designing
What is Cosmetic Dentistry?
Think of the last time you posed for a picture. Did you flash your pearly whites or did you hide your teeth? Today, many people benefit from Cosmetic Dentistry. A wide range of techniques are available that can enhance almost any smile.
Gone are the days when you had to settle for chipped, stained and crooked teeth. A revolution in newer technology and materials ensure that cosmetically enhanced teeth now look more natural and last longer than they did in the past. Skillfully blending science and art can ‘sculpt’ a more attractive smile for you.
Who needs Cosmetic Dental Treatment?
You can yourself analyze your smile to know whether you need any smile makeovers.
Please stand in front of a wall-mounted mirror in a brightly lit room. Preferably the mirror should be of sufficient length, so that you can see your complete self.
Now, smile normally.
- Do you love the way your teeth look and the way you smile?
- Are there any spaces between your teeth?
- Do you have any missing teeth?
- Do you have crooked, malpositioned teeth?
- Are any of your teeth shorter than the others?
- Are the canine teeth (corner) too prominent?
- Do you have a “gummy” smile?
- Have your gums receded or are they swollen?
- Do you have any silver (mercury) fillings in your teeth?
- Do you have any old crowns that do not match your natural teeth?
- Do the teeth look white or are they somewhat yellow, dark, or stained?
- When being photographed, do you smile normally or is the smile restricted?
- Do you shy from showing a full smile in front of strangers?
- Are you embarrassed to visit a dentist due to the condition of your teeth?
Cosmetic Dental Treatments for Your Dream Smile
Dental Bonding
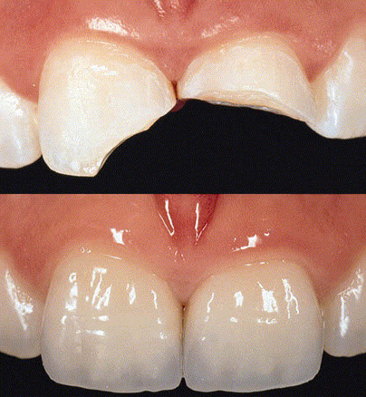
Dental Veneers
Dental veneers can be a solution for:
- Severely discolored or chipped teeth
- Misshapen or crooked teeth
- Teeth with small holes or pits
- Teeth with unwanted or uneven spaces
Types of Veneers
Composite Resin Veneers OR DIRECT VENEERS
Composite resin veneers, also known as direct veneers, can usually be applied to your teeth within one dental visit. The procedure involves an application of a composite resin material directly to the tooth surface. The resin material is sculpted to the desired shape of the tooth
Porcelain Veneers or INDIRECT VENEERS :
Porcelain veneers, also known as indirect veneers, are made of a very thin porcelain material. This procedure requires two visits to the dentist. Compared to dental bonding, ceramic veneers usually look more life like and they have the added benefit of resisting staining well.
- In your first visit,we remove part of your tooth enamel to reduce thickness and make room for the veneers.
- Next an impression of your teeth is made. The impression is sent to a dental laboratory where your veneers are custom-made.
- On your next to us, a mild chemical is applied to your teeth to achieve a durable bond. The veneers are then bonded to your teeth using resin cement.
Dental Crowns
How do I look after my dental crowns?
- Treat your crowned tooth like a normal tooth.
- Brush and floss thoroughly.
- In the unlikely event of your dental crown or dental veneer coming off, keep it safely and contact your dentist immediately. These can generally be refixed.
Diastema Closure
A diastema is a space between front teeth. Diastemas are closed by orthodontics or restoration. A highly successful technique is addition of composite.
A space which is too large and closed with composite results in teeth that are esthetically too wide and orthodontics is recommended.
Space closure requires placement of composite two adjacent teeth. Placement of composite onto one tooth can be done if proper tooth dimensions allow it.
Teeth Whitening
- The commonest discoloration is due to smoking or tobacco.
- Food and beverages such as tea, coffee, colas and red wine can be the culprit.
- Age can cause a natural darkening of teeth.
- Certain medications such as tetracycline, taken at a very young age.
- Flourosis due to high Flouride content in water.
What is dental bleaching?
What are the different types of teeth bleaching?
Teeth Bleaching is basically of 2 types:
- Office Teeth Bleach : This is done by your dentist at the dental clinic using a higher concentration of teeth bleaching material.
- Home Teeth Bleach: This is done by yourself at home using teeth bleaching material and a special tray dispensed by your Dentist. Depending on your type of dental staining and your time restriction,we will advise either one or a combination of both of them.
How long does teeth bleaching take?
- Office Teeth Bleach : Each sitting of teeth bleaching done at your dentist’s clinic can take Between 30-60 minutes. The total number of sittings is usually 2-3, though this can Vary depending on the severity of the staining.
- Home Teeth Bleach: This is generally done during the nights for 1 or 2 weeks.
Your dentist will tell you which one is suitable for you.
Dental Jewellery
So what are you waiting for — come & have that extra spark in your smile.


