Gum Treatments
Gum Disease
- Did you know that more than 75% of all adults in India have gum disease
- Many people have gum disease and are not even aware they have this problem.
- Did you know that gum disease is the #1 reason adults lose their teeth
- Gum disease is a “silent” disease-until your teeth become loose and fall out–many people do not know they have it and how seriously they do.
- Q. Are your teeth loose?
- Q. Do you have bad breath?
- Q. If you wear a partial denture does it still fit the same?
If any of these statements are true then you may have a problem with your gums. You should visit us and get an evaluation and schedule an appointment. You may need more than just a routine cleaning for your teeth to get your gums healthy again.
A thorough evaluation of your gums and your overall dental health includes a comprehensive examination, a complete set of x-rays, and periodontal probing. If there is bone loss and deep pocketing you may need non-surgical periodontal or surgical periodontal care.
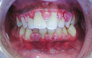
Signs & Symptoms of Gum Disease
- Q. Do your gums bleed when you brush, floss or use a toothpick?
- Q. Are your gums red, swollen and painful?
- Q. Do you have pus coming from between your gums and teeth if you push on your gums?
- Q. Are your gums pulling away from your teeth?
- Q. Has there been a change in the way your teeth come together when you bite or chew on food?
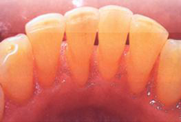
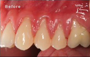
- Q. Do your teeth look longer because of receding gums?
Periodontal Disease
There are different types of crowns: metal, porcelain fused to metal (PFM), and all ceramic crowns.
- Metal Crowns are used in molars and areas where the forces from chewing and grinding are most prevalent. Metal crowns are extremely durable.
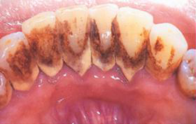
- Gingivitis is one of the most common gum problems. Bacteria trapped between the gums and the teeth lead to infection and inflammation. Typical symptoms of gingivitis include gum redness, swelling, tenderness, and bleeding. However, gum disease may also progress with no noticeable symptoms. Patients who allow plaque to build up along their gum line are at high risk for developing gingivitis. Patients who have regular prophylactic cleanings to remove plaque and follow a dentist-recommended oral hygiene routine at home experience a lower risk of gum disease.
- Periodontitis is the next stage of gum disease. Untreated gingivitis often progresses to periodontitis. Pockets of infection can form in the spaces between gums and teeth as food particles and plaque accumulate. As the gums become increasingly inflamed, they recede and pull away from the patient’s teeth. Patients often experience bad breath or a bad taste in their mouth due to chronic gum infection. Periodontitis tends to become progressively worse. Bacteria and the patient’s own immune response begin to break down the gums, underlying bone, and connective tissue holding teeth in place. A patient’s teeth may become loose and eventually fall out or require extraction.
Common Periodontal Procedures
Tooth Scaling

Root Planing
If you are missing a single tooth, one implant and a crown can replace it. A dental implant replaces both the lost natural tooth and its root.
Pocket Debridement and Treatment
When periodontitis develops, tartar, dead tissue, bacteria and debris from the activity of white blood cells builds up in the space (pocket) between the gum and the tooth root. This causes the normally-shallow pocket to deepen and makes the gums pull away from the teeth. The gum and the underlying jaw bone can begin to deteriorate when this happens. This infected and dead material is surgically removed (debrided) during the deep cleaning process of scaling and root planing. An antibiotic gel may be applied to the pockets after debridement to help limit re-infection. Or, antibiotics may be given in pill form as an adjunct therapy for gum disease treatment.
Gingival Flap Surgery
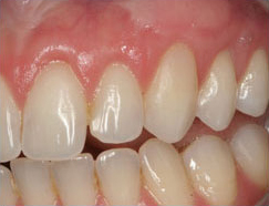
If the pockets of infected material along the gum line are deep, the gum may need to be temporarily lifted away from the tooth root to provide adequate access for debridement, scaling and planing. In a gingival flap procedure, the gum is incised and pulled downward to clear the area for the cleaning. Then, it is stitched back in place. If this treatment is performed as part of a pocket reduction surgery, a small portion of the gum tissue may be removed as well to ensure a tighter fit between the gum and tooth root. This results in a shallower pocket that is easier to keep clean.
Gingivectomy
Gingivoplasty
Tissue Grafting
Osseous Surgery
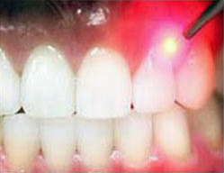
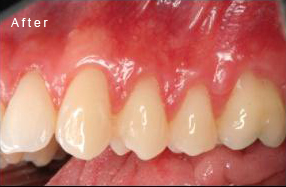
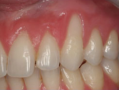
Laser
Lasers In Perio- Periodontal treatments including scaling and root planning can be performed using lasers, in conjunction with hand tools. The laser destroys bacteria, removes diseased gum tissue, and seals the pocket to help keep food and germs out. Laser treatment promotes faster healing, minimizes bleeding, reduces discomfort, and limits the chances of infection. Lasers are also used to reshape a patient’s gum line. Patients who have a “gummy” smile which makes their teeth look short or uneven may request this crown lengthening procedure.


