Dental Implant
What is Dental Implant?
A dental implant is an artificial tooth root that is placed into your jaw bone to replace a missing tooth. Dental implants are an ideal option for people in good general oral health who have lost a tooth or teeth due to periodontal disease, failure of endodontics, an injury, or some other reason.
Dental implants are actually more tooth-saving than traditional bridgework, since implants do not rely on neighboring teeth for support.
What Dental Implants Can Do?
- Replace one or more teeth without affecting adjacent teeth.
- Support a bridge and eliminate the need for a removable partial denture.
- Provide support for a denture, making it more secure and comfortable.
Advantages of Dental Implants Over Dentures or a Bridge
Esthetic
Dental implants look and feel like your own teeth! Since dental implants integrate into the structure of your bone, they prevent the bone loss and gum recession that often accompany bridgework and dentures. No one will ever know that you have a replacement tooth.
Tooth-saving
Dental implants don’t sacrifice the quality of your adjacent teeth like a bridge does because neighboring teeth are not altered to support the implant. More of your own teeth are left untouched, a significant long-term benefit to your oral health!
Confidence
Dental implants will allow you to once again speak and eat with comfort and confidence! They’ll allow you to say goodbye to worries about displaced dentures and messy denture adhesives.
Reliable
The success rate of dental implants is highly predictable. They are considered an excellent option for tooth replacement.
Are You a Candidate for Dental Implants?
The ideal candidate for a dental implant is in good general and oral health. Adequate bone in your jaw is needed to support the implant, and the best candidates have healthy gum tissues that are free of periodontal disease. Dental Implants are indicated as a treatment option for:
Replacing a Single Tooth
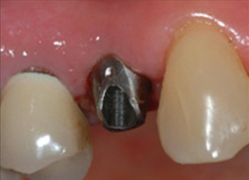
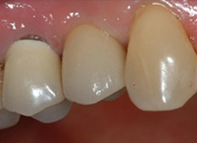
If you are missing a single tooth, one implant and a crown can replace it. A dental implant replaces both the lost natural tooth and its root.

Replacing Several Teeth
If you are missing several teeth, implant-supported bridges can replace them. Dental implants will replace both your lost natural teeth and some of the roots.

Replacing All of Your Teeth
If you are missing all of your teeth, an implant-supported full bridge or full denture can replace them. Dental implants will replace both your lost natural teeth and some of the roots.

Implant Supported Denture
An implant-supported denture is used when a person doesn’t have any teeth in the jaw, but has enough bone in the jaw to support implants. Implant-supported dentures usually are made for the lower jaw because regular dentures tend to be less stable there.

Hybrid Dentures:
Hybrid Dentures also called fixed-detachable dentures. Hybrid dentures are recommended when you have a lot of bone loss in your jaw. This type of denture is more natural looking and stable. To make it, you will need to have four to six dental implants to create a solid base for the denture. The denture is then permanently attached to the implants.
IN CASES WHERE BONE IS THIN OR DEFICIENT
What Can I Expect After Treatment?
As you know, your own teeth require conscientious at-home oral care and regular dental visits. Dental implants are like your own teeth and will require the same care. In order to keep your implant clean and plaque-free, brushing and flossing still apply!
After treatment, periodic follow-up visits will be scheduled to monitor your implant, teeth and gums to make sure they are healthy.


