Kidzz Dentistry
Comprehensive Dental Care for Children
Common Procedures Include
- 2-MINUTE FLUORIDE APPLICATIONS(For prevention from effects of chocolates; Colas; sticky foods on teeth)
- PIT & FISSURE SEALS (Most recommended way of caries prevention by blocking deep pits & fissures of teeth )
- FLUORIDE FILLINGS (for correction of cavities in milk& permanent teeth)
- FLUORIDE FILLINGS (for correction of cavities in milk& permanent teeth)
- ORTHODONTIC ASSESMENT (opinion from specialist Orthodontist whether your child needs Braces ?)
- HABIT BREAKING APPLIANCES (For correction of bad habits like Thumb-sucking; Mouth breathing; Tongue –thrusting)
- SPACE MAINTAINANCE (To allow permanent tooth to erupt in place if milk tooth has shed off or extracted early.)
- SCALING & POLISHING OF TEETH (to prevent any gum problem)
- COLOURED GLITTERING FILLINGS (Latest Fashion Statement ! in fillings for kids
Checkups
Education and prevention are the cornerstones of our concern for the dental health of children. In addition to teaching parents and guardians about dental care for their child, checkups are an appropriate time to comfortably and easily evaluate:
- How many teeth are present?
- Are all teeth present?
- Loose teeth if any
- Braces / bite evaluation
- Cavity check
- Check health of gums
- Habit evaluation
- Homecare / prevention
- Fluoride use
- Review diet
- Address adult’s concerns
- Teach adults how to care for child’s teeth
- Fluoride use
- Review diet
- Address adult’s concerns
- Teach adults how to care for child’s teeth
Sealants for kids
Dental Crowns
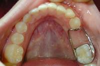
Space Maintenance
A baby tooth is sometimes lost prematurely because of tooth decay or injury. If this occurs before the permanent tooth is ready to erupt the nearby teeth can shift or drift into the space where the primary tooth use to be creating a lack of space in the jaw for the permanent teeth. The teeth in the other jaw may also move up or down to fill in the gap. If this crowding happens there may not be enough room for the new tooth to come in correctly, so it emerges lopsided or is not able to erupt at all. This crowded condition can make it more difficult :
- To clean (increasing your child’s risk for tooth decay.)
- It can also make chewing difficulty causing these teeth to wear down more quickly.
- If left untreated, this condition may result in extensive orthodontic treatment.
Surprisingly some baby teeth are not replaced by adult teeth until a child reaches 12 or 14 years old!The space maintainer is a small metal device that is custom fitted to your child’s mouth. It is firmly fixed in the mouth and will be removed when the permanent tooth is in it’s proper position. It may consist of a band attached to the tooth on one side of the space with a wire loop or spring bridging the gap to the tooth on the other side. They steady the remaining teeth, preventing movement until the permanent tooth takes it’s natural position.


