Dental Lasers
Laser Dentistry is an advanced system and well established in dentistry in developed countries and it is extremely useful in various dental conditions.
What is Dental Lasers?
Laser Dentistry is an advanced system and well established in dentistry in developed countries and it is extremely useful in various dental conditions.
Fear is common feeling for most people while they wait in the dentist’s office. Laser dentistry eliminates many of the common complaints of traditional dentistry.
The Benefits of Laser
- Less or no discomfort during & after treatments.
- Fewer visits.
- Bloodless field. So better visibility & increased precision in procedure.
- Treatment has faster healing & tissues can be regenerated.
- No or Minimal post operative swelling.
- Damage to surrounding tissue minimized.
- Less fear anxiety.
- Immediate result.
- Procedures performed using dental lasers does not require sutures.
- No or minimal use of anesthesia.
- Bacterial infections are minimized because of high energy beam sterilizes area being worked on.
Uses of Lasers
Root Canal Treatment
Canal Sterilization: Majority of Root canal failures are attributed to incomplete removal of tissue from the canals. Laser tip when inserted within the canals, burns any tissue left and hence reduces the chance of failure. With Laser Root Canal Treatment we can achieve 99.7% Reduction in bacterial counts in the root canal and this reduces the risk of re-infection.
Gummy Smile Correction
A ‘Gummy Smile’ often creates an unaesthetic smile which hampers a person’s confidence.Aesthetic recontouring of the gums and thus increasing crown length gives back the healthy natural smile.
Gum depigmentation
Gum depigmentation is a procedure used to remove black patches on the gums caused by excessive melanin. The normal color of the gum tissue (gingiva) is pink, but excess deposits of melanin can create what seem to be black spots or patches on the gums, creating an aesthetic or cosmetic problem.
Discolouration may also be caused by long term use of certain medications A dental laser can target and ablate the melanocytes, thus reducing the production of melanin in the gingival tissue. Following laser depigmentation, the gingiva heals by secondary intention. This results in a lighter and more uniform color of the gums.
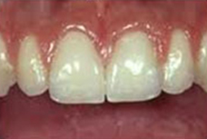
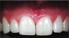
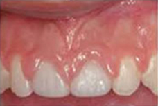
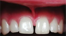
Frenectomy
A frenum is a fold of tissue in the mouth. Midline spacing in upper and lower front teeth may often be due to high frenum attachment which can be relieved painlessly by excising with laser.
Tongue Tie
Some people have a tight frenum under the tongue. This may prevent the tongue from moving freely. The condition is called tongue tie or ankyloglossia. Tongue tie may interfere with feeding in infants. Later, it can cause problems as a child learns to talk.This tongue-tie can be treated by lingual frenectomy using laser and marked improvement or complete elimination of difficulty is achieved at the same moment.
Gingivectomy and Gingivoplasty
Gingival hyperplasia induced by antihypertensive and antiepileptic drugs can be effectively excised using lasers.
Vestibuloplasty
In old denture wearers, ridge resorption often poses a retentive problem, sulcular deepening yields greater retentive area and with the use of lasers, healing is better and painless so denture fabrication is easier.


