Call Us

Vesu: 8460502255 | 9824108483

Open Hours

Mon–Fri: 10 AM–1 PM | 4 PM–8 PM
Sat: 10 AM–1 PM

E-Mail

pearldent@gmail.com

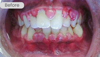
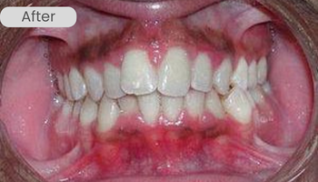
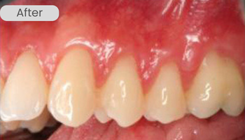
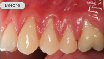
Treatment Gallery

See the difference at Pearldent Dental Care. Our Treatment Gallery showcases real before-and-after results, reflecting the quality, precision, and care we provide to every patient.

He graduated from Government Dental College, Ahmedabad in the year 1999.He further persued his Masters in Oral and Maxillofacial Surgery from the same Institute during which he got extensive exposure to various oral surgical procedures like disimpactions, cyst enucleations, jaw fractures, TMJ surgeries, surgical extractions to name a few.

He keeps upgrading himself with the latest, be it Implants, lasers or the latest in surgeries, by attending conferences, seminars and workshops of renowned and eminent Speakers.

Seminars & conferences attended:-

‘All-on-4’ treatment concept with Implants conducted by Nobel Biocare in Mumbai (Nov 2012).
Professional Soft & Hard tissue Management Course conducted by Apsun Dental Implant Research & Education Center, Korea, held in Mumbai (Feb 2012).
Advanced Implant Surgery & Perio-Esthetics Course by Dr. Neel Bhatavadekar (Sep 2012).
Annual conference of Indian Academy of Laser Dentistry held in Goa (Sep 2011).
Annual conference of Society for Oral Laser Applications (SOLA) held at Pune (Sep 2010).
The Three S’s of Implant Dentistry conducted by Chicago Center for Advanced Dentistry, held at Surat ( March 2005 ).

National workshop on Correction of Facial Deformities, held at Ahmedabad (July 2005).
First Distraction Osteogenesis course in India, conducted by University of Glasgow at Dharwad (Nov 2001).
‘Face 2000’, for the Advancement of Craniofacial Esthetics held at Trichur (April 2000).
Attended Various State & National level Conferences conducted by Indian Dental Association (IDA), Association of Oral & Maxillo facial Surgeons of India (AOMSI) & other Laser & Implant Societies.